亚克提恩大兜虫,世界上最重的大兜虫(历时三年成功羽化)
亚克提恩大兜虫,世界上最重的大兜虫(历时三年成功羽化)
有些人喜欢养植物,有些人喜欢动物,还有一些人爱好养虫。喜欢玩虫的人,应该都听过兜虫,这是一种在养虫界还蛮出名的虫子。亚克提恩大兜虫是世界上最大的兜虫,它们一般可以长到12.7厘米长,4厘米左右厚,是一种比较大的虫子。下面就跟360常识网一起具体看看世界上最大的兜虫等相关内容。

能长到十几厘米的大兜虫
爱好玩虫的人,一般都听说过兜虫,这种虫子非常的受欢迎。兜虫是金龟科的一种虫子,名字源于日本,因为它的头部很像武士的头盔“兜”,所以大家兜叫它兜虫。很多人都不知道为什么它们叫兜虫,圈外的人也很少知道它,但是它非常的受玩虫人们的欢迎。
号称地表上最有份量、力气最大的亚克提恩大兜虫,是一种非常受人喜欢的兜虫。很多爱虫的人,会花费几年的时间去养兜虫,观察它每一个阶段的成长过程。对于那些爱虫的人来说,看着它们从幼虫长成成虫,是一件非常有成就感的事情。

体型庞大的亚克提恩大兜虫,是已知世界上最大的兜虫,它们可以长到十几厘米长4厘米厚,是一种非常有重量的虫子。像大部分甲虫一样,它们的悲伤有着一个厚且硬的盔甲。亚克提恩大兜虫是最大型,也最容易饲养的虫类品种。
亚克提恩大兜虫
亚克提恩大兜虫是象兜虫属里所有已知种类中公虫体型最大的,号称地表上最有份量、力气最大的兜虫。它可以长到5英寸(约12.7厘米)长,1.6英寸(4厘米)厚。像大部分甲虫一样,亚克提恩大兜虫的背上有一个厚而硬的盔甲。成虫通体哑光黑色,有些个体会呈现深褐色。公虫拥有发达的头角及左右方向前深伸出的粗大胸角, 因为两个大型胸角突起, 有的虫友戏称它为蝙蝠侠大兜。 母虫没有头角,通体黑色, 前胸背板与鞘翅中央有粗糙颗粒。是最大型又容易饲育的品种。其中文名称来自拉丁种小名, Actaeon为拉丁神话中一个猎人之名。

Megasoma(象兜属),Mega在拉丁语是巨大的意思,soma拉丁语意为身体,连在一起即为巨大身体的意思。象兜属目前有15个种,一半以上属于超重量级的品种,分布于美洲大陆美国南部到南美洲之间。
号称地表上最有份量、力气最大的亚克提恩大兜虫,是一种非常受人喜欢的兜虫。很多爱虫的人,会花费几年的时间去养兜虫,观察它每一个阶段的成长过程。对于那些爱虫的人来说,看着它们从幼虫长成成虫,是一件非常有成就感的事情。
体型庞大的亚克提恩大兜虫,是已知世界上最大的兜虫,它们可以长到十几厘米长4厘米厚,是一种非常有重量的虫子。像大部分甲虫一样,它们的悲伤有着一个厚且硬的盔甲。亚克提恩大兜虫是最大型,也最容易饲养的虫类品种。

亚克提恩大兜虫属于象兜属,就是指它们在虫类中,拥有着如大象般巨大的身体。目前象兜属有15个种类,其中有超过一半的重量级品种。在爱好玩虫的人看来,这种巨大的甲虫看起来非常的可爱,很多人都愿意花很多的时间去见证它的成长。
有些人花费三年的时间,就是为了见证亚克提恩大兜虫成功羽化的过程。在外行人看来很难以理解,但对于爱好玩虫的人来说,当看到它们成功从幼虫长成成虫,是一件非常有意义的事情。亚克提恩大兜虫,是一种极具重量又非常好养的虫,新手玩虫可以考虑它。
标签:
65
氧气有毒 生物学家:21亿年前 氧气曾经导致地球生命灭绝 深入剖析氧气在人体中的重要性,作为生命必需品之一,它参与细胞呼吸过程,为身体提供能量。细胞呼吸中,氧气与葡萄糖...
136
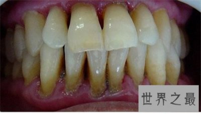
牙龈炎图片 快进来对比一下你有没有牙龈炎 牙疼不是病,疼起来要人命,这句话真的很有道理,牙上的炎症虽然不严重,不会产生什么严重的后果,但是治疗的过程是痛苦又漫长的,...
187
中国最好的大学,北京大学世界排名41名 要说中国最好的大学是哪一所,中国人自然是想都不用想就知道是清华北大这两所我国最著名的高等学府啦。今天招生期间清华北大还各种抢人...
168
永乐大典是在哪里编成的?被称为世界第一的百科全书 公元1900年间,当八国联军入侵北京之时,慈禧为了保命带着傀儡皇帝往西逃走,而联军对都城进行烧杀掳掠,搞得民不聊生。就...
184
李艾佳病逝原因解析? 3月7日晚,李艾佳工作室发表讣告证实演员李艾佳于3月6日,因突发病征于北京家中去世,年仅36岁。讣告里提到,突如其来的噩耗让亲人、朋友和工作伙伴都感到...
115
“超级地球”LHS 3844b一侧大量火山爆发的原因:内部物质从一个半球流向另一 个半球 “超级地球”LHS 3844b一侧大量火山爆发的原因:内部物质从一个半球流向另一个半球 (报道)据...
192
威海市区划地名一览表,了解威海市有几个区、县,细到街道 导读:本期文章内容给大家介绍2025年 威海市 区划信息(详细地名)一览表,带你了解 威海市 有几个区、县,地名细分到...
152
潮汕的风俗 潮汕风俗:功夫茶、剃胎发、打油火、七样菜、出花园、婚嫁、劳热。 1、劳热:该习俗是源自于潮州人民对土地的无比崇拜,从而产生“土地之神”的说法,家家户户都会...
102
如何打出口字旁的当字(口字旁的当怎么打出来) 口字旁的当怎么没有了?近期,热议话题非口字旁的当这个字莫属,很多人都奇怪,之前都有这个字的,为什么现在输入法都打不出来...
53
民国第一外交家—顾维钧 他是近代中国伟大的国务活动家和外交家之一,改变中国屈辱的对外关系、维护中国在国际舞台上的尊严,他一生历经四次婚姻,却在外交事业上一丝不苟,对...
184
李霄云为什么被冷藏 坚持做自己的音乐 李霄云1987年出生于甘肃兰州,是中国内地女歌手。她参加09年的超级女声。但比赛之后却传出她被冷藏的消息,但是也没有人知道她为什么会被...
163
地下城与勇士:提升战力有技巧,这些方法你不了解一下? DNF金秋版本的来临带来了一阵深渊狂潮,随着史诗装备获取难度的日益降低,勇士们的小号也越来越容易玩了,不过光有装备...
115
终于找到麻花影视的完美替代品了... 所需工具:南瓜影视(后台回复「174」获取) 适用系统:安卓、iOS ==== 最近,老是有小伙伴来私信问学霸君:麻花视频已经崩了,那到底还有啥好...
91
大s生了几个孩子 一儿一女的她可以说是很幸福了 大s作为一名台湾的当红女星,在刚出道的时候与自己的双胞胎妹妹组成歌唱组合,由此成名。大s的真名为徐熙媛,如今的她还是一位...
126
安徽这个大城市,当地人特别热情,素质是数一数二的! 对于没有来过淮北的朋友,我会告诉你:欢迎你来。但是首先请不要拿我们和北上广相比,我们虽然只是一个四线城市,但是只...
63
重庆市万达广场名单一览,很多人逛街喜欢去的地方,你去过几个? 导读: 本期内容十点排行为大家整理了重庆市的万达广场名单,告诉你重庆市的万达广场有哪些,很多人购物逛街...
81
文彩元公布恋爱了吗 她的绯闻恋情是炒作 文彩元,1986年出生于韩国大邱广域市,韩国女演员。参演校园剧《奔跑吧,鲭鱼》,正式出道。2008年,参演历史剧《风之画员》,获得SBS演技...
191
擦边主播凉凉!网信办专项行动整治软色情等五类问题 快科技 8 月 1 日消息,日前网信中国发布公告称,近日,中央网信办专门印发通知,在全国范围内部署开展为期 1 个月的 清朗 ·...
172
小沈阳:音乐之路,激情绽放 小沈阳,这个名字如今已成为中国流行乐坛的璀璨明星。他以独特的嗓音和深情的演绎,赢得了无数歌迷的喜爱和尊敬。近日,他宣布将于2024年展开全国...
134
波兰、匈牙利、斯洛伐克延长对乌克兰农产品禁令,乌:将起诉三国 当地时间2025年8月10日,乌克兰基辅地区朱里夫卡,一辆拖拉机在私人农场的田地里收集稻草。 视觉中国 图 欧盟决...