牙龈炎图片 快进来对比一下你有没有牙龈炎
牙疼不是病,疼起来要人命,这句话真的很有道理,牙上的炎症虽然不严重,不会产生什么严重的后果,但是治疗的过程是痛苦又漫长的,而且牙痛的原因也有很多,牙龈炎就是其中一条,牙龈炎图片很严重,今天小编要为大家讲讲牙龈炎的治疗方法,一起来看看牙龈炎图片吧
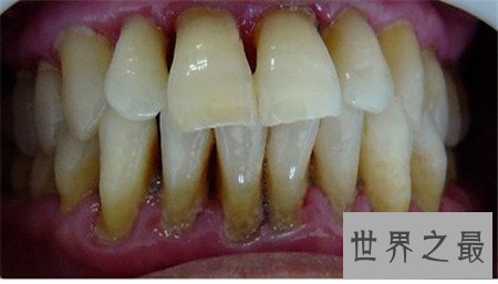
牙龈炎

上图为牙龈炎图片
牙龈炎:牙龈炎和牙周炎同属于牙周病范畴,牙龈炎病变发生在牙龈组织,主要原因是口腔不洁、菌斑与牙垢、牙结石、食物嵌塞、不良修复体等局部剌激,某些全身因素如内分泌紊乱、维生素C缺乏、营养障碍与系统疾病也可引起或加重牙龈炎
牙龈是牙周组织(牙龈、牙周膜、牙槽骨、牙骨质)之一,直接暴露于口腔中,直视可见,它是由角化上皮和结缔组织组成,覆盖着牙槽骨和牙根。牙龈病是局限于牙龈组织的病变,其中最为常见的是慢性龈缘炎,又称边缘性龈炎、单纯性龈炎,属于“仅与牙菌斑有关的牙龈炎”,是菌斑性牙龈炎中最常见的疾病。牙龈的炎症主要位于游离龈和龈乳头。也就是大家常说的牙龈炎。3~5岁的儿童即可发生,患病率和严重程度随年龄增长而逐步增加,至青春期达高峰。牙龈炎在儿童中男性略多于女性。发展中国家和地区高于经济发达国家。
牙龈炎病因

上图为牙龈炎图片
1、牙菌斑。牙菌斑是引起牙龈炎的最初原因,它是粘附在牙面的未矿化的细菌性沉积物。但是每个人口腔里都存在着菌斑,但不是每个人都会发展为亚牙龈炎或牙周炎,还有一些直接或间接的因素促进牙龈炎的形成。
2、牙石。日常进食时,在我们咀嚼中,由于机械刺激,牙石上的菌斑与牙龈密切接触,引发牙龈发炎。
3、食物嵌塞。这是导致局部牙周组织破坏的最常见的病因。年轻人是因为牙齿排列不齐,老年人是由于老年性的牙龈萎缩,进食后食物嵌塞在牙龈与牙齿之间,有没有及时地去除干净,这容易引起牙龈肿胀、牙龈萎缩、邻面龋及口臭等口腔问题。
4、敏感期。早期青春期、月经期或妊娠期,所致体内分泌激素的变化,会改变牙周组织对病源性刺激因素的反应性,从而加重牙龈的炎症变化,一般在以上三个时期,都很容易发生牙龈炎。
牙龈的发展过程

上图为牙龈炎图片
轻度的慢性单纯性牙龈炎所侵犯的是游高龈和龈乳头,严重者可侵犯附着龈、前牙区,尤以下颌前牙炎症明显。咬水果或刷牙时,牙龈出血。健康的牙龈即使用力刷牙,不会发生出血。
正常的游离龈是很薄且紧贴牙面,牙龈炎的病理症状:龈缘充血发红、肿胀、松软,龈缘变厚,牙间乳头变为钝圆,与牙面不紧贴,而且龈沟加深,严重者附着龈可因组织水肿,点彩消失,表面光亮,龈缘可有糜烂或肉芽增生,龈袋溢脓。
龈炎进一步发展,牙龈大量毛细血管增生扩张、高度充血,大量炎症细胞和组织液渗出,导致牙龈肥大,可覆盖部分牙冠,此时牙龈呈深红或暗红,探诊极易出血。病程较长者,可导致牙龈纤维增殖,牙龈增生突起,此时牙龈颜色轻度发红或接近正常,质地较硬,出血较少。牙龈炎的病理于只侵犯牙龈,不侵犯其他牙周组织,所以牙齿不发生松动,X光片检查牙槽骨、牙周膜、牙骨质无异常。
标签:
187
中国最好的大学,北京大学世界排名41名 要说中国最好的大学是哪一所,中国人自然是想都不用想就知道是清华北大这两所我国最著名的高等学府啦。今天招生期间清华北大还各种抢人...
168
永乐大典是在哪里编成的?被称为世界第一的百科全书 公元1900年间,当八国联军入侵北京之时,慈禧为了保命带着傀儡皇帝往西逃走,而联军对都城进行烧杀掳掠,搞得民不聊生。就...
184
李艾佳病逝原因解析? 3月7日晚,李艾佳工作室发表讣告证实演员李艾佳于3月6日,因突发病征于北京家中去世,年仅36岁。讣告里提到,突如其来的噩耗让亲人、朋友和工作伙伴都感到...
115
“超级地球”LHS 3844b一侧大量火山爆发的原因:内部物质从一个半球流向另一 个半球 “超级地球”LHS 3844b一侧大量火山爆发的原因:内部物质从一个半球流向另一个半球 (报道)据...
192
威海市区划地名一览表,了解威海市有几个区、县,细到街道 导读:本期文章内容给大家介绍2025年 威海市 区划信息(详细地名)一览表,带你了解 威海市 有几个区、县,地名细分到...
152
潮汕的风俗 潮汕风俗:功夫茶、剃胎发、打油火、七样菜、出花园、婚嫁、劳热。 1、劳热:该习俗是源自于潮州人民对土地的无比崇拜,从而产生“土地之神”的说法,家家户户都会...
102
如何打出口字旁的当字(口字旁的当怎么打出来) 口字旁的当怎么没有了?近期,热议话题非口字旁的当这个字莫属,很多人都奇怪,之前都有这个字的,为什么现在输入法都打不出来...
53
民国第一外交家—顾维钧 他是近代中国伟大的国务活动家和外交家之一,改变中国屈辱的对外关系、维护中国在国际舞台上的尊严,他一生历经四次婚姻,却在外交事业上一丝不苟,对...
184
李霄云为什么被冷藏 坚持做自己的音乐 李霄云1987年出生于甘肃兰州,是中国内地女歌手。她参加09年的超级女声。但比赛之后却传出她被冷藏的消息,但是也没有人知道她为什么会被...
163
地下城与勇士:提升战力有技巧,这些方法你不了解一下? DNF金秋版本的来临带来了一阵深渊狂潮,随着史诗装备获取难度的日益降低,勇士们的小号也越来越容易玩了,不过光有装备...
115
终于找到麻花影视的完美替代品了... 所需工具:南瓜影视(后台回复「174」获取) 适用系统:安卓、iOS ==== 最近,老是有小伙伴来私信问学霸君:麻花视频已经崩了,那到底还有啥好...
91
大s生了几个孩子 一儿一女的她可以说是很幸福了 大s作为一名台湾的当红女星,在刚出道的时候与自己的双胞胎妹妹组成歌唱组合,由此成名。大s的真名为徐熙媛,如今的她还是一位...
126
安徽这个大城市,当地人特别热情,素质是数一数二的! 对于没有来过淮北的朋友,我会告诉你:欢迎你来。但是首先请不要拿我们和北上广相比,我们虽然只是一个四线城市,但是只...
63
重庆市万达广场名单一览,很多人逛街喜欢去的地方,你去过几个? 导读: 本期内容十点排行为大家整理了重庆市的万达广场名单,告诉你重庆市的万达广场有哪些,很多人购物逛街...
81
文彩元公布恋爱了吗 她的绯闻恋情是炒作 文彩元,1986年出生于韩国大邱广域市,韩国女演员。参演校园剧《奔跑吧,鲭鱼》,正式出道。2008年,参演历史剧《风之画员》,获得SBS演技...
191
擦边主播凉凉!网信办专项行动整治软色情等五类问题 快科技 8 月 1 日消息,日前网信中国发布公告称,近日,中央网信办专门印发通知,在全国范围内部署开展为期 1 个月的 清朗 ·...
172
小沈阳:音乐之路,激情绽放 小沈阳,这个名字如今已成为中国流行乐坛的璀璨明星。他以独特的嗓音和深情的演绎,赢得了无数歌迷的喜爱和尊敬。近日,他宣布将于2024年展开全国...
134
波兰、匈牙利、斯洛伐克延长对乌克兰农产品禁令,乌:将起诉三国 当地时间2025年8月10日,乌克兰基辅地区朱里夫卡,一辆拖拉机在私人农场的田地里收集稻草。 视觉中国 图 欧盟决...
128
著名主持人金星是什么原因让她如此坚决的变性,真相令人感动 说起明星变性,基本上大家第一个都会想到金星‘’。金星是著名的舞蹈家,也是个非常毒舌的主持人,不过还是很多人...
103
中国航天事业的三个里程碑是什么 有什么成就 我国航天事业的三大里程碑主要是三个,一个是东方红1号的成功发射, 一个是神舟5号在太空遨游,还有一个是嫦娥一号的成功发射。这...